主页

44118太阳成城集团发布全球首个350nt ssDNA寡核苷酸池

2025. 11. 10

44118太阳成城集团作为中国领先的高通量DNA合成企业,通过整合我们自主研发的高通量虚拟孔原位合成平台与改进的核酸化学技术,成功突破了技术壁垒,正式推出全球首个350nt单链DNA(ssDNA)寡核苷酸池(Oligo Pools)。这标志着高通量寡核苷酸合成技术在长度、均一性及可扩展性上的重大突破,为抗体研发、适配体研究、AI蛋白质工程、高通量基因文库、复杂序列文库和合成生物学研究等相关领域带来了革命性变革。

 

我们的超长ssDNA寡核苷酸池合成技术能够在2-3天内并行生成数百万种多样性的高质量单链寡核苷酸池,并支持客户自定义的不等长设计、任意兼并碱基设计、甲基化修饰碱基设计、生物素标记设计、尿嘧啶碱基设计等各类DNA序列。经测试和用户使用反馈,产品合成质量卓越。

 

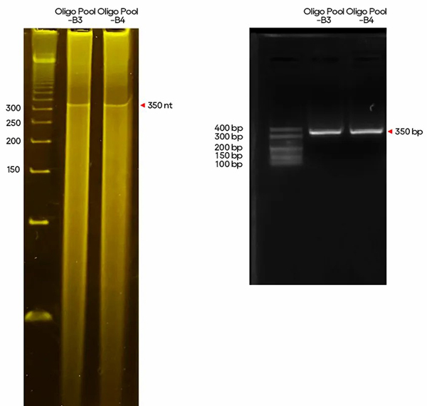
如下左图所示,对合成后粗品进行聚丙烯酰胺凝胶电泳(PAGE)分析的结果显示,我们的ssDNA寡核苷酸池纯度高、长度均一,且合成重复性高。如下右图所示,相同两个样本经扩增后的ssDNA 转化为dsDNA,条带完整清晰,可扩增性强。经NGS测序验证,序列保真度高、错误率低。以我们的超长ssDNA寡核苷酸池为原料进行高通量单基因直接构建,经一代测序验证,正确克隆子成功率超过90%。

 

官网1

 

太阳集团350nt单链寡核苷酸池

 

传统单链寡核苷酸池合成技术往往受限于序列长度(100nt–300nt),难以让抗体库的多样性和复杂性达到理想状态,这无疑给抗体研发带来了巨大挑战。

 

44118太阳成城集团作为高通量DNA合成领域的可靠伙伴,新推出的350nt超长oligo pool,可一次性完成长序列及复杂序列合成,解决了传统短链Oligo需要多步拼接、易出错的问题,提升了实验效率与成功率,同时还支持更高自由度的设计。应用场景包括:

 

构建超长抗体库(scFv、VHH 抗体等)

 

• 可覆盖VHH抗体完整可变区甚至更长区域,也可覆盖完整IgG抗体可变区的单结构域序列(VH或VL),还可通过两段350nt oligo拼接实现完整scFv抗体序列的全覆盖,避免传统短链oligo多步拼接的复杂流程,从而降低错误率,提高抗体库多样性和筛选成功率。

 

• 可直接合成AI设计的完整VHH抗体或IgG抗体可变区的单结构域序列(VH或VL),缩短序列合成与功能验证的周期,加速AI从头设计抗体的干湿闭环验证。

 

高通量蛋白文库与合成生物学应用

 

• 构建涵盖更长编码区(例如完整结构域)的高通量蛋白质变体文库,用于蛋白功能优化与工程化改造。

 

• 支持更加多样性的AI从头设计的长片段蛋白序列验证,提升合成生物学DBTL循环的效率。

 

低成本高通量基因合成

 

• 以寡核苷酸池为原料,结合分子条码技术直接构建短基因,降低小片段基因的合成成本与周期。

 

• 以寡核苷酸池为原料,经过拼接策略实现高通量低成本基因组装,适配大规模基因文库的构建,满足科研或产业化的高通量需求。

 

调控元件与功能基因组学

 

• 更适配大规模平行报告分析(MPRA)研究,可直接合成涵盖更长启动子、增强子及调控元件的序列文库,更全面地解析基因表达调控网络。

 

• 支持STR(短串联重复序列)等高度重复调控区域的合成与功能验证,突破了传统短链寡核苷酸池难以合成多个连续重复序列的局限。

 

核酸药物开发

 

• 支持高多样性Aptamer(核酸适配体)文库的合成,可覆盖更长结合区域的序列设计,提升核酸适配体的特异性筛选效率。

 

• 支持mRNA优化文库(如密码子优化、UTR区域改造等)的构建,适配核酸药物功能筛选场景,加速核酸药物的研发进程。

 

太阳集团350nt单链寡核苷酸池产品特点

 

序列长度:最长350nt,支持不等长序列

 

序列数量:无限制

 

序列特征:除四种标准碱基外支持任意兼并碱基设计

 

序列修饰:支持5mC,Biotin,dU等修饰在不同位置掺入

 

交付周期:最快7个工作日

 

350nt单链寡核苷酸池的成功合成,不仅是技术突破,更为科研工作者打开了全新的实验可能性,从抗体文库构建到高通量基因拼接,从调控序列功能研究到DNA数据存储 ,这些传统短链寡核苷酸池难以胜任的应用,现在都可以直接实现。

 

想要了解更多关于350nt单链寡核苷酸池的信息,或者定制您的专属方案吗?

欢迎直接联系我们!

联系我们

电话:400-017-9077

地址:上海市闵行区光华路248号5号楼2楼

邮箱:support1@dynegene.com

太阳集团合成—生命科学“核”动力

联系我们

电话:400-017-9077

地址:上海市闵行区光华路248号5号楼2楼

邮箱:support1@dynegene.com

关注我们

Copyright © 2025 44118太阳成城集团有限公司
All rights reserved.    沪ICP备2021008439号-2

网站地图 I 隐私政策